Lompat ke konten Lompat ke sidebar Lompat ke footer

View Normal Temporal Bone Ct Scan UK

View Normal Temporal Bone Ct Scan UK. The temporal bones are situated at the skull's base and sides. Intended for beginning radiology residents, this video highlights important structures in the temporal bone to evaluate on every temporal bone ct.

Normal Temporal Bone Ct Springerlink
Normal Temporal Bone Ct Springerlink from media.springernature.com
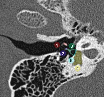
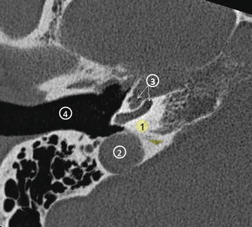
Ct scans can help determine a diagnosis early. Ct and mr of temporal bone malignancies primary and. Ct scan of normal temporal bone, photographed in bone window.

Cn7,ds, cn vii, descending mastoid segment;

A ct or pet scan may be more helpful. Scan b shows numerous bone hot spots, a result of cancer that has spread to multiple locations. In 41 patients both ears were examined; Ct scans can produce detailed images of many structures inside the body, including the internal organs you can eat and drink, go to work and drive as normal.

Posting Komentar untuk "View Normal Temporal Bone Ct Scan UK"